What Are All on four implants ?
Procedure Summary
All on four implants are the newest dental restoration technology able to replace an entire arch of missing teeth with only four strategically placed implants. Unlike traditional methods, which require an implant for each tooth that is missing, this approach maximizes the use of existing bone and often reduces the need for additional surgeries, such as bone grafting.
Difference from Traditional Dental Implants
The conventional implant involves multiple surgeries performed over months. In contrast, All on four implants simplifies the process to enable most patients to get their new teeth on the same day of surgery. The implants are positioned at specific angles to offer a stable base for a full-arch prosthesis, even in cases with reduced bone density.
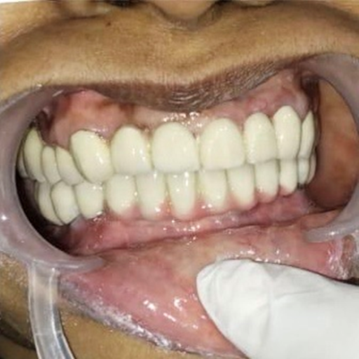
Key Elements of the All on four implants
Four titanium implants: Anchored into the jawbone for stability.
Full-arch prosthetic teeth: Custom-designed for a natural look and feel.
Immediate load feature: A temporary set of teeth can often be placed the same day as surgery.
Who Are All on four implants For?
Ideal Candidates for the Procedure
This treatment is suitable for people with:
Severe tooth loss or damage.
Deteriorated jawbone but is not deemed to require grafting.
Good overall health in order to undergo a minor surgical procedure.
Common Dental Issues Solved by All-on-Four
All on four implants can treat:
Complete tooth loss in one or both arches.
Failing teeth due to extensive decay or gum disease.
A requirement for dentures that are stable and do not need to be removed.
Age and Lifestyle Factors
While All on four implants is often associated with older adults, patients of any age who have experienced significant tooth loss are ideal. Smoking, clenching, or bruxism will necessitate more preparation to ensure years of success.
Advantages of All-on-Four Implants
A Permanent Tooth Replacement Solution
All on four implants offer a permanent, fixed alternative to conventional dentures. You will never again worry about adhesives or slipping teeth during your meals or conversations.
Bettering Oral Health and Function
These implants function similarly to the natural teeth, so you can bite, chew, and speak with confidence. They also help prevent bone loss by stimulating the jawbone, which is important for long-term oral health.
Aesthetic Beauty and Self-Esteem Improvement
A full, stunning smile can change the way you look and feel. The prosthetic teeth are crafted to be as aesthetically pleasing as possible, so you’ll love your smile.
All-on-Four implants do come with a higher upfront cost, but this cost is one-time-only and will save you a long string of costly adjustments, adhesives, and replacing repeatedly worn dentures.
The All on four implants Procedure: Step by Step
Initial Consultation and Planning
Your journey is started with a thorough dental examination: X-rays, 3D scans, and impressions are prepared to analyze the bone structure in order to plan the exact position of your implants.
Procedure: Implant Placement Surgery
Four implants are surgically placed into the jawbone. Two are placed at the front of the arch. The other two are angled towards the back to provide utmost stability.
Recovery and Follow-Up Appointments
Initial healing usually takes a few weeks. Most patients experience minimal discomfort, and the pain can be managed with medication and proper aftercare. Follow-up visits ensure the implants are integrating well with the bone.
Caring and Maintenance for the Long-Term
The same care should be provided for All on four implants as with the natural teeth. Maintenance includes regular brushing, flossing, and dental check-ups to ensure their longevity.
Cost of All on four implants
Factors that Influence the Price
The cost may depend on:
Geographic location.
Case complexity.
Prosthetic teeth materials.
Insurance and Funding
Dental insurance may cover a part of All-on-Four implants, but most patients rely on financing options like payment plans or medical credit lines to fund their treatment.
All on four implants vs Other Restorative Dental Treatment Modalities
All-on-Four implants compared to dentures have a higher initial investment, but their durability and lower maintenance reduce the costs in the long run.
Risks and Challenges of All-on-Four Implants
Common Complications
Even though All-on-Four has a very high success rate, the following complications occur:
Failure of the implant because of poor bone integration.
Surgical site infection.
Prosthetic adjustments are likely to be needed.
Ways of Reducing Risks
Selecting a competent and experienced dentist, good dental hygiene, and follow-ups can reduce your risks.
Importance of Selecting a Confident Dentist
The success of All-on-Four implants depends on the skill level of the dental team. Research reviews, credentials, and case studies before making a decision.
Success Rates and Longevity
Statistics and Clinical Data
According to studies, the success rate of All on four implants is more than 95% within a period of 10 years. Most patients continue to enjoy their implants for decades if properly taken care of.
Factors Affecting the Lifespan of Implants
Good oral care, healthy habits, and routine checkups are necessary for obtaining the maximum lifespan for your implants.
Patient Testimonials and Real-Life Experience
So many patients have described the new confidence, as well as enabling them to eat foods they hadn’t eaten in years.
How to Prepare for All-on-Four Implants
Pre-Surgical Counseling
Share with your dentist your history of diseases, the state of your oral health, and your expectations. The dentist may recommend preparatory treatments, such as extraction or cleaning.
Lifestyle Habits Need Adjustment for Success
Quit smoking as smoking could interfere with healing and lower the success rate of implants. Be well-balanced with a diet also as well-hydrated.
Psychological and Emotional Readiness
One needs to be explained what is gonna happen, listened to, and have proper expectations set up within themselves. Being prepared helps all that anxiety melt.
Conclusion
All-on-Four implants are a game-changer for patients with missing teeth. They provide a more permanent and natural-looking denture alternative compared to traditional dentures, restoring function and confidence. Though the procedure requires investment of time and money, results are life-changing for most patients.
FAQs
- How long does the All-on-Four procedure take?
Most patients get their implants and temporary teeth in one visit; however, the overall process from consultations to recovery can take months. - How painful is the procedure?
The surgery is not particularly painful due to modern anesthesia and pain management. On the other hand, post-operative discomfort is usually mild and brief. - What is the longevity of All-on-Four implants?
With proper care, All-on-Four implants can last 20 years or more, and this truly is a long-lasting solution for missing teeth. - Can I go back to eating normally after I get All-on-Four implants?
Yes! Once healed, you can have and eat all your favorite foods. Even so, you should have a soft diet while recovering. - Do insurance cover All-on-Four implants?
Some insurance plans may cover part of the cost. Check your provider and seek financing options as a means of additional support.


